Logo

Prince George Veterinary Hospital

Prince George Veterinary Hospital

(250) 563-1541

Request Appointment
Menu

Echocardiography

Echocariogram

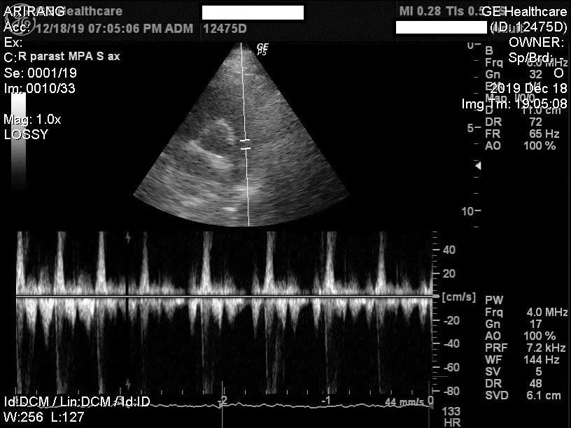
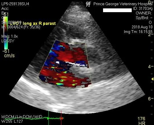
Echocardiography - ultrasound of the heart

In order to be able to evaluate the inner workings of the heart in detail we offer echocardiography.

Echocardiography uses ultrasound to obtain images of the heart. This way we can not only assess the size of the heart and its various chambers, but also evaluate the heart muscle, the function of the heart muscle and the condition of the valves in the heart.

Echocardiography


Using something called 'Doppler' we can also assess the pattern of blood flow and the speed of blood flow throug the various valves in the heart.

Echocardiography is a very important tool in diagnosing conditions like cardiomyopathy (heart muscle disease), chronic valvular disease or pericardial effusion (heart sac filling up with liquid).

In order to perform an echocardiogram, we will admit your pet a few hours before the procedure so they can settle in and relax, and we will give them some anti-anxiety medications. Once your pet is relaxed we will shave an area of the chest, apply some lubricant to the skin to enhance visualization and perform the scan. In most cases the images will be referred to a remote radiologist (imaging specialist) or cardiologist (heart specialist) for a second opinion. Usually we receive a report from them within 24 hours!

Echo



This is just a placeholder. You can add some components or content in the sidebar partial.